今天是:

您现在的位置: 庆阳市人民医院 >> 医院新闻 >> 医院动态 >> 正文
医院动态

多学科协作上演生命时速 重症患者重获新生

作者:郭俊杰 来源:重症医学科 点击数: 更新时间:2018/2/22 9:26:31

农历新年过后的第一个周末,人们还沉浸在节日的快乐中。重症医学科(ICU)值班医生正在同一个新入院患者的家属进行谈话,办公护士接到消化内科的电话:一个消化道出血的患者病情危重,请求紧急会诊。

 

 

消化内科病房内七八个家属焦虑不安,值班医生正在介绍患者病史。患者青年男性,在家中饮酒后突然大量呕血并出现柏油样黑便。到当地县医院就诊后住院治疗,效果不佳,遂紧急转至我院消化内科。入院时血压70/40mmHg,患者呈重度贫血貌,精神烦躁,血细胞分析报告血红蛋白60g/L。通过询问病史及查体,消化内科初步诊断:上消化道出血原因待查,失血性休克,失血性贫血。消化科给予补液扩容及口服止血药物的同时积极联系输血,但患者仍间断大量呕血,血压继续下降至60/30 mmHg,病情不允许电子胃镜检查明确诊断及进一步治疗。

lCU值班医生了解病史及查看患者后,建议立即将患者转lCU抢救。患者于下午13时许转入重症医学科,心电及动脉血压监测显示患者血压60/30mmHg,心率155次/分,急查动脉血气分析示血红蛋白40g/L,BE值-15。护士报告患者末梢循环极差,再建静脉输液通路难度大,值班医生立即在床旁行中心静脉置管术,同时向输血科申请输血,得到全力支持。3个单位红细胞、1.5个单位红细胞、600ml血浆、继续3个单位红细胞输入,一袋一袋鲜红的血液通过中心静脉导管进入患者体内,患者血压逐步回升到85/50mmHg。此时已是晚上20点,lCU立即联系了消化内镜室,请求行急诊胃镜检查,抓住这稍纵即逝的机会,如有必要行镜下治疗。稍有拖延,或再出现大量呕血,患者生命堪忧。

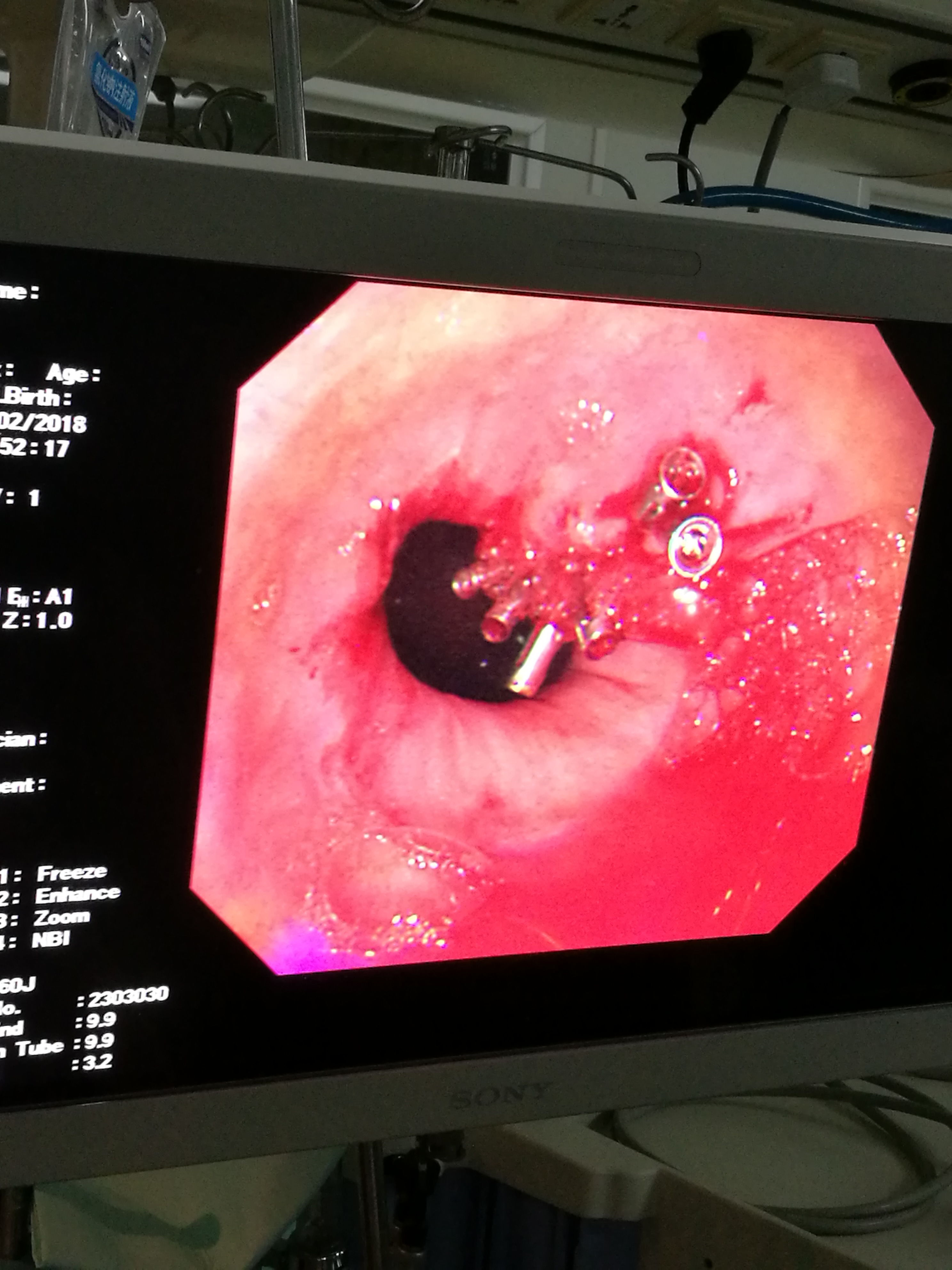
消化内镜室全力支持,迅速派2名医师携电子胃镜赶到重症医学科,行床旁胃镜检查。这时患者仍在输血,精神烦躁,极度不配合检查,在适当镇静处理后胃镜室曹大夫果断下镜检查,这时屏幕显示胃腔内漫布新鲜血液,视野不清,终于,在镜头折返后看到靠近贲门处粘膜撕裂并有一喷射状出血。

 

 

“粘膜下动脉破裂,准备用钛夹镜下止血!”

胃镜下破裂的动脉仍在喷血,并随着病人的呼吸动度上下移动,准确夹闭血管断端十分困难,大家都濒住了呼吸。

“夹!”随着第一个释放钛夹动作,贲门裂口处喷射状出血应声停止。

“继续准备钛夹!”连续的咔咔声后,5个钛夹牢牢夹在了出血灶周围,用生理盐水冲洗病灶观察后再未见活动性出血,在场的所有医护人员终于松了口气。然而一波未平,一波又起,胃镜退出后,患者再次呕吐出较多陈旧性血凝块,并由于意识不清发生误吸,“病人误吸严重,氧饱和度下降,立即准备气管插管!”

置患者气管插管体位,清理口咽部血凝块后行经口气管插管术,插管成功后气道内吸出大量陈旧性血液,这时患者自主呼吸恢复,脉氧饱和度上升至92%。    

时钟的指针已指向晚上21时,患者的生命体征趋向平稳,复查血细胞分析示血红蛋白上升到86g/L。目前患者病情稳定。

通过我院重症医学科、消化内镜室、消化科、输血科等多个专业团队密切协作,连续10余小时不间断抢救治疗,使患者重获新生,这充分说明了我院在急危重症救治方面的专业技术实力,也充分体现了新时期白衣天使救死扶伤、无私奉献的大医情怀。